|
更新
平成22年2月20日 側湾症改善大塚式鍛錬体操効果
側湾症改善大塚式鍛錬体操効果
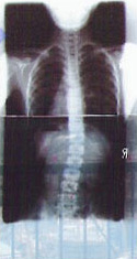
| 中学2年女子35度 |
|
| 初診 |
 |
体操30分後 |
そくわんエクササイズ |
 |
 |
初診で当日体操の指導30分後です。
写真判定できるほど効果を発揮します。
これで改善が終了ではありません。
中2ということもあり、リブハンプが大きく年齢的にも成長期であり、すぐに整形外科へ紹介しトルソ大塚整体指導装具を着用治療中。
●あまりの変化に声を上げてびっくり(母子)
●30分後の変化みて『体操頑張ります』と談。 |
| H.21 12/20 |
H.21 12/20 |
正しい体操方法は肋骨変形を自己整復できる力があります。
この力は6歳からでも効果を発揮します。 |
報告 23度前後でも大学病院から体操指導の紹介状が来ます。
体操で改善されており、医師もカルテに大塚整体治療院通院中と書かれました。 (H.21母 談) |
|
| 予告●この体操指導方法を学術学会で一般講演 参加資格 学術会員 |
①日時 平成22年3月6日
②場所 千葉科学大学 マリーンキャンパス
③学会 第17回 日本健康体力栄養学会
④演題 特初性側湾症体操の有効性(3)
大塚整体治療院 院長:大塚乙衛 |
|
更新
平成21年12月12日 月刊誌『安心』にそくわんエクササイズとして掲載されました。
これは、マキノ出版の依頼により取材され11月2日発売されました。
内容は大塚式背骨鍛錬体操をそくわんエクササイズとして11ページ掲載。
聖隷佐倉市民病院通院 少年 18度→6度に改善(体操4ヶ月後)をはじめ50〜60才の女性など直接取材された患者様のお言葉が掲載されています。特に幼児60度→8度→10月末のお手紙では5度になり聖隷佐倉市民病院通院南院長もびっくりされ、『幼稚園へ行っているときは装具を外していいかな、こんなによくなっているから様子をみよう』と診断されましたとのお手紙です。
ご興味の方は出版社までお問い合せ下さい。→03-3815-2981
更新
平成21年5月29日 (大塚整体の骨子です)
※子供たちには改善するチャンスが与えられているのにそれを医師自ら放棄してはならない。
(1)現在の医療では特発性側湾症20度以下の低度数者に下記の如く説明します。
�@体操は無効�A1度曲がった骨は元に戻りませんから�B運動すると背骨に負担がかかる�C学校の運動で十分�D運動はなんでも同じ�E生活習慣は関係ないなにも気にせず生活を。�F側湾ぎみですね、しかし、側湾症は50%が進行しないので。このようなことを説明しているのがほとんどの病院、医師は進行すれば装具さらに進行すれば手術です等。
(2)全国の母親はどうすれば良いのかをたずねている、放置や経過観察ではありません。
医師はこの子が進行するのか、しないのかはわからないと説明。そのため放置となる。
※現医療の問題点はレントゲン診断はするが身体を診ていないことが多くこれが問題。
身体を診ていないので筋力のバランスがわからない、そのため通り一遍の説明。
※初診時、筋力検査もなく生活指導もない、これは、若い医師では教授から言われたことの受け売りが多く、自分で体操など指導や試みた医師はいない。そのようなことを勝手にすれば飛ばされます。今まで体操は無効としているので、いまさら体操で改善を認めるわけにはいかない、又体操は予防となり現行保険制度では予防は保険が効かない。
(3)多くは女子に見られ痩せ型体が固く腹筋の弱い子に多く大塚整体では当初より体操指導。
通常の体操や筋トレではなく身体の躾(しつけ)つまり背骨鍛練による背骨の躾を指導。
(4)この鍛練体操は学術発表済み。いつでも医師会、側湾学会、厚生労働省と対話を希望。
・平成14年12月日本柔道整復接骨医学会第11回学術大会で体操改善の症例発表。
・平成20年5月第15回日本健康体力栄養学会(大阪府立大学)において。
『特発性側湾症における体操療法の有効性』を一般講演。
◎平成21年6月第16回日本健康体力栄養学会(東京農大)において。
『特発性側湾症における体操療法の有効性(2)』を一般講演予定。
★日本健康体力栄養学会とは(大学教授等70名で役員構成されている学会)
<目的>
本会は体力栄養の知識と技術の進歩・普及発展のために、体力と栄養の関係を研究し、その成果を健康を目指した運動及び栄養の実践活動に応用し、国民の健康増進及び生活習慣病の一次予防に貢献することを目的とする。
(5)報告→最近大学病院で経過観察は側湾体操と生活指導という良い病院が誕生しており、側湾学会の体操は無効という定説に反対するが如く、体操が指導されている事実を側湾学会はどのように答えるのか。(大塚整体はこの大学病院に敬意を表します)
側湾学会も20度以下の場合は経過観察は体操と生活指導という医療の抜本改革が必要。
側湾症軽度20度以下の場合、お子様が改善傾向タイプ、進行タイプなど大塚整体では多くの身体写真記録から共通点を発見、そのポイントで身体を判断しますと体操改善率は非常に高く、又、悪化しやすいタイプのお子様には先に説明し、定期検診で改善思わしくない場合は整形外科医に指示を受けすぐに装具療法を導入するためロスタイムは無い。
この発見はレントゲンのみの診断ではできません。身体を診るという作業で確認できる。
|