豊島区 側湾症 脊柱側湾症 そくわん
側湾症改善大塚式RHPI療法
東京都豊島区東池袋3-1-4 メゾンサンシャイン1032
お問合せ:TEL.03-3989-6814 FAX.昼03-3989-6814 夜03-3964-6081
診療時間:月・火・水・金 10時30分〜/土・日・祝日 9時〜 定休日:木曜
体操改善例
|
症例1
|
症例2
|
症例3
|
症例4
|
症例5
|
症例6
|
症例7
|
症例8
|
症例9
|
症例10
|
症例11
|
症例12
|
症例13
|
症例14
|
症例11)
体操3ヶ月で15度が計測不能となりました。これが大塚式体操の力
●
経過
1
平成18年12月 玉川病院 整形外科受診8歳女子検診15度と診断。
2
平成19年 1月 大塚整体初診 体操4回指導。
3
平成19年 3月 再検診へ同病院へ。計測不能。
4
平成19年 3月 レントゲン持参され本日で終了、自宅体操の継続を指導。
5
帰るまぎわに女子が紙の切れ端に書いており、これをプレゼントしてくれました。
平成18年12月
平成19年3月
帰るときこのメモを
プレゼントしてくれました。
院長
子どもの心から
思われた言葉が
私にさらなる勇気を
あたえてくれます。
15度
計測不能
ページのトップに戻る
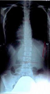
症例12)
初診18歳でも体操で大きく度数の改善と身長も2センチ伸びた。
●
経過
�@平成19年4月初診 18歳 男子受験生
14度-25度 身長168センチ
�A平成20年8月 医学部学生となっており、改善しお礼に来院。
12度-14度 身長170センチ・成人として安全度数です。体操の継続により受験を突破し改善と身長も伸びた。終了です。
�B
彼は改善と身長が伸びたことを大変喜んでいました。
君が整形外科医になったらどうすると質問すると私は自分で体験しましたので体操を指導しますと話してくれました。
ハキハキとした大変な好青年でした。
平成19年4月
初診レントゲン
平成20年8月
レントゲン
(14度)-25度
12度-14度
ページのトップに戻る
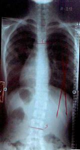
症例13)
当院通院の妹で軽度のため体操で0度に改善。
●
経過
�@平成20年6月初診 10歳 5年生 女子
母親が側湾を心配されたため先に整形外科に紹介
軽度 8度-7度 自宅体操を指導。
�A平成20年12月 定期検診
側湾度 0度
�B
早期発見、早期体操と姿勢指導で改善を維持。
レントゲンを比較するとボディの左右が大変きれいになっているのがわかる。
レントゲンを通して体幹筋のバランスを見ても左右のバランスがよくなっていることがわかる。
初診 平成20年6月21日
平成20年12月27日
平成21年3月21日
8度-7度
0度
0度
ページのトップに戻る
症例14)
信州大学12度→15度進行性、ここから当院通院で体操3ヶ月で6度に改善。
●
経過
�@12歳 6年生 女子
平成19年6月 12度 信州大学病院 体操指導なし。
平成19年12月 15度 信州大学病院 体操指導なし。
�A平成20年1月27日 大塚整体 初診
側湾症改善大塚式鍛錬体操指導。
�B平成20年3月
6度
に改善正常範囲となる。定期検診は信州大学。
この2ヶ月間で2回体操指導。
�C大塚整体では早期発見、
軽度の場合放置ではなく鍛錬体操指導の結果。
レントゲンの比較で15度→6度の改善は明らかで脊柱がほぼ真っ直ぐです。
この時点で終了、自宅体操の継続を指導しました。
平成19年6月
経過観察
平成19年6月
経過観察
平成20年3月未検診
初診から体操2ヶ月後
12度
15度
6度 正常範囲
鍛錬体操とは筋トレや柔軟とは違い、神経機能に対して特異的な運動刺激を持つトレーニングで、
従来はこのような方法はなかった。 しかし、6歳でもできる体操。
ページのトップに戻る
|
症例1
|
症例2
|
症例3
|
症例4
|
症例5
|
症例6
|
症例7
|
症例8
|
症例9
|
症例10
|
症例11
|
症例12
|
症例13
|
症例14
|
側湾症/背骨のゆがみ
大塚式RHPI療法
施術例
装具療法
体操改善
博士論文
診療案内
大塚整体治療院
【掲載の記事・写真・イラストなどの無断複写・転載等を禁じます。】
Copyright(C) ohtsukaseitai all rights reserved