豊島区 側湾症 脊柱側湾症 そくわん

側湾症改善大塚式RHPI療法
大塚整体治療院 大塚式背骨鍛錬道場
東京都豊島区東池袋3-1-4 メゾンサンシャイン1032
お問合せ:TEL.03-3989-6814 FAX.昼03-3989-6814 夜03-3964-6081
診療時間:月・火・水・金 10時30分〜/土・日・祝日 9時〜 定休日:木曜
MAP HOME
側湾症/背骨のゆがみ 大塚式RHPI療法 施術例 装具療法 体操改善例 博士論文 診療案内

体操改善例

 

体操療法に批判の方、体操はどれも同じなど側湾症改善大塚式鍛練体操を見たこともない、体験したこともない方は医学界の常識としての言葉のみを信じておられる。
多くの改善をみている鍛練体操はある整形外科医が見学に来院され驚かれていた。
大病院の先生は体操をしたことがない、研修医のときから体操は効果なしということを教えられているのでそれが常識になってしまう。
最近症例7)が他サイトに投稿されているのを、九州の方が見つけられお電話で教えてくださった。しかし、すぐに削除されるのではないかと笑い話をしました。
このサイト管理者はどうも大塚整体に批判的で体操療法も信じてはおられない。そのため、即日削除されていましたので、原文をここに掲載します。
このサイトの管理者は実際に確かめる事なく批判のみをしている方です。
当院は見学できますが治療は不可、空いている時間帯は許可です。

症例7)体操効果で30度→25度、度数1度でも改善したのをみたのは初めてと医師。

病院と整体   みかん   2007/07/20 15:56
女性 主婦 大阪府

はじめまして。
皆さん悩みは同じだと思うと胸が痛みます。本当に、親は藁にもすがる思いですから。
参考になるかどうか分かりませんが娘の体験談を。 中学2年で30度で発見。
大阪医科大では「観察」か「手術」、装具は進行を止めても改善は無しと知り、
探し回った挙句東京の「大塚整体治療院」にたどり着きました。
正直半信半疑でしたが、大学病院と提携してレントゲンをとり、手術を避けたい患者さんが整形から回されてくるほどでした。
特殊な横揺れベッドで筋肉をほぐし、自宅での運動療法が基本です。
骨は自らは動かず、周囲の筋肉や腱が骨を動かしていると考えれば、運動療法は試してみて価値があるのではと思いました。
毎日の体操は親子とも根気のいる事ですが、何十人分もの治療成果の写真を見せて頂き、皆が置いて行った装具の山を見るとがんばってみようと思わずにはいられませんでした。

大阪医科大の先生も検診で25度になった娘を見て「度数1度でも改善したのをみたのは初めてだ」と驚かれていました。それでもプライドからか「どこの整体院だ」とはお聞きになられませんでしたが。
電話でも手紙でもFAXでも、何でも親切に教えて頂けます。費用も驚くほどではありません。
初回の1時間半、ベッドで揺られてその後体操を指導して頂いたのですが、小学生などはより早く効果が出るようです。 「大塚整体治療院」で検索して頂けばHPがあります。
子供達が少しでも良くなることを、また一日も早く原因の解明、予防ができるようになります事を祈ってやみません。
体験談原文プリント画像

症例8)麻痺性側湾を思わせるような非典型カーブが体操4ヶ月で改善。

経過
   
1 13歳男子 野球部 近所の整形で18度
2 平成19年5月19日 大塚整体初診
度数のわりに傾斜があり、すぐに聖隷佐倉市民病院南院長へ紹介。
診療結果報告書では側湾度16度麻痺性を思わせるカーブとのこと。
3 平成19年9月26日聖隷佐倉市民病院再診体操4ヶ月後。
当日母親よりお電話があり9度に改善とのこと。
「南院長も驚かれていた、体操をしっかりやって下さい」とのことでした。
母親も体も大変きれいになり、真っ直ぐたてるようになったといわれました。
このお電話で通院1回ですが終了し自宅体操継続を指導しました。
4 その後、ボディ写真を送っていただくようお電話し、12月にメールで送られてきました。
体操効果で改善姿勢も維持されていることがわかり安心しました。
初診   メールで受診    
初診 メールで受診   体操で脊柱が姿勢が改善
両肩も平行
肩甲骨も左右均等
ボディも絞まり改善
脊柱起立筋及び大腰筋等強化されたことがわかる。
努力の跡が見られる。
平成19年5月19日   平成19年12月    

症例9)体操5ヶ月でほぼ真っ直ぐと診断。ボディ写真では2ヶ月で改善。

経過
   
1 11歳女子 風邪で内科医が指摘。
平成19年6月整形外科受診17度。次回9月検診予定。
治療法なし、経過のみ。
2 平成19年7月1日月大塚整体初診
体操2回指導
3 平成19年12月再検診は慶應大学へ受診していただきました。
医師は「ほぼ真っ直ぐです」と母親からお電話がありました。
体操してましたという言葉に、医師は「頑張ったね」と言われたそうです。
さすが、慶應大学病院です。励ましのある医師が大切です。
4 通院終了、自宅体操の継続を指導しました。
初診   体操2ヶ月後    
初診 体操2ヶ月後   体操で脊柱が中心へ
両肩も平行
肩甲骨も左右均等
ボディも絞まり改善
努力の跡がみられる。
平成19年7月1日   平成19年9月1日    

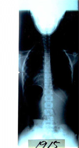
症例10)病院で一生治らない、来なくてもいいと言われたが体操4ヶ月で改善。

経過
   
1 10歳女子 検診では問題なし、家で左肩が下がっているのを発見
病院へ診察、軽度のため特に問題なしと診断。
2 平成19年5月 大塚整体初診
体操3回指導
3 平成19年11月 再検診へ同病院へ。
母親より送られてきたレントゲンとお手紙です。
結果 真っ直ぐ。どこの病院へ行かれてもよいですとご返事しました。
通院終了、自宅体操の継続を指導しました。
4 このお手紙の掲載の許可を得ました。
10歳の女子にこのような暴言を吐く医師は許せません、心に傷がつきます。
このような最低の病院もあります、側湾症をよく知らない医師も多くいます。
レントゲン写真   お手紙